• 首页
  • 医健资讯
  • 投融资
  • 医健科技
    • 医疗人工智能
    • 医疗信息化
    • 智能医疗器械
    • 医疗云
    • 5G医疗
    • 医疗物联网
  • 人物访谈

【大健康派】医健科技圈点-医疗新闻热点-医疗时事热点事件

2024医院智慧服务和智慧管理分级自评估工作启动

总额达117.3亿元!财政部下达第二批补助资金,用于深化公立医院综合改革

  • 医健资讯|分级诊疗关键要解决基层首诊问题 9年前

    全国政协委员、阜外医院心律失常诊治中心主任张澍表示,基层首诊的问题突破了,分级诊疗的问题就有望突破。建议有关部门加强政策...

  • 医健资讯|全国政协委员王阶:推进“医养结合”仍存在四方面难题 9年前

    医养结合保障体系尚未形成。医养结合养老模式是创新之举,当前基本医疗体系中缺乏针对老年人健康特点的保障模式,大部分医保基金...

  • 医健资讯|DNA可作超高效纳米机器引擎,能检测病毒细菌乃至金属 9年前

    参与该项研究的加拿大核酸领域研究主席李应福解释说,DNA纳米机器的想法来自大自然,生物利用各种纳米级分子机器来实现重要的...

  • 医健资讯|木匠发明避孕神器,男人看到后拍手称赞 9年前

    报道称,已有25名男子装有此结扎装置,这样的新概念引来网友热烈讨论,有网友表示大概装了也懒得再开刀去关掉开关,也有网友建...

  • 医健资讯|两会代表委员关注养老问题:医养分离成发展瓶颈 9年前

    2亿多老年人加上8500万残障人士,数字非常庞大,可是我们的社会却没有足够重视。大多数天桥是没有电梯的,许多地铁里走着走...

  • 医健资讯|互联网医疗的2015和2016 9年前

    在医疗从诊疗服务走向健康服务的过程中,互联网医疗的创新还会继续,互联网医疗会成为建立医疗服务新生态的一个重要环节。

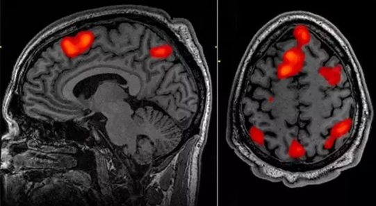
  • 医健资讯|fMRI分析爆重大缺陷 9年前

    作者们还注意到,目前的公开数据行动让任何人都可以容易地追溯研究,并以新的思路更小心地重新分析原始研究的数据。但是大多数已...

  • 医健资讯|代表委员热议:健全分级诊疗 9年前

    骆沙鸣则建议,可以在个人医保账户中划出一定比例经费,用于参保人员健身等专项消费支出,提高大家参与全民健身的积极性,也推动...

  • 医健资讯|百度首席科学家再谈人工智能,看好机器人医生 9年前

    百度人工智能的开放应用,百度方面表示可以利用相关企业的数据,帮助企业训练出相关模型。“百度的重点是让平台使用更容易,支持...

  • 医健资讯|分级诊疗首先要“基层有专家” 9年前

    哪怕公立医院改革不能一步到位,进行一些局部的调整却是可行的,也是必需的。不要说,专家不能去基层、光看小病;现实是,专家在...

  • 医健资讯|互联网+医疗应以立法方式形成制度框架 9年前

    推动医疗卫生信息服务的社会化。政府负责制定各类医疗健康信息的分类编码规则、信息安全管理规范,规范医疗健康数据的生产行为,...

  • 医健资讯|【全国两会地方谈】“医养结合”情注夕阳红是多赢之举 9年前

    “医养结合”必然开启“最美养老时代”,河北当勇做排头兵!

  • 医健资讯|中国基因编辑研究且快且急,看专家怎么说? 9年前

    专家呼吁,也应对基因编辑技术的原始创新和专利保护给予高度重视,为我国在基因编辑的临床转化和市场化应用方面争取主动权和话语...

  • 医健资讯|两会热议互联网医疗,今年或迎发展良机 9年前

    试想,当用户可以通过叮当快药这类送药APP享受专业药师用药咨询服务,并能通过医保消费,购买到适用自己病症的处方药,只需在...

  • 医健资讯|移动医疗助力分级诊疗 9年前

    这在方来英看了,“变革现有的医疗服务模式,远程在线诊疗、建立全生命周期的电子病历,以大数据运算和分析为基础,建立的慢病管...

首页 845 846 847 848 849 850 851 852 853 854 下一页
  • 医疗人工智能|从“AI+医疗”、医药创新到医...

    2026-02-06

  • 医疗信息化|1.2亿元!肇庆市第二人民医院...

    2026-02-05

  • 医健资讯|2026中央一号文件定调!基层...

    2026-02-05

  • 医疗人工智能|浙江“AI智能终端”新政:20...

    2026-02-04

  • 医疗人工智能|2026年河南省政府工作报告:...

    2026-02-04

  • 从“AI+医疗”、医药创新到医院建设,2026北京...
  • 1.2亿元!肇庆市第二人民医院新院信息化项目
  • 2026中央一号文件定调!基层卫生健康工作重点来了
  • 浙江“AI智能终端”新政:2027年目标营收超50...
  • 2026年河南省政府工作报告:已获批12个国家区域...

关于我们 | 联系我们 |免责条款

投稿邮箱:wendi.c@djkpai.com

合作电话:86-010-5166 8499

社群交流:jiankangwaner

备案号 京ICP备2024069182号-8

友情链接

中国IDC圈|
小桔灯网|

扫码关注微信公众平台