• 首页
  • 医健资讯
  • 投融资
  • 医健科技
    • 医疗人工智能
    • 医疗信息化
    • 智能医疗器械
    • 医疗云
    • 5G医疗
    • 医疗物联网
  • 人物访谈

首页-医健科技-医疗人工智能

  • 医疗人工智能|当医学遇上AI,辅助还是颠覆? 5年前

    AI目前主要在影像诊断、基因筛查等领域应用,但对于具体患者的治疗决策,可能不单单是学术能够解决的,还掺杂了更多的人文因素...

    AI 影像诊断 辅助诊疗

  • 医疗人工智能|人工智能医疗行业浅析 5年前

    随着人工智能三要素:算法,算力和数据方面的不断进步,人工智能在医疗领域的应用发展迅速,并且相关产品在近些年逐步走向市场,...

    人工智能 医疗 应用场景

  • 医疗人工智能|AI化学家诞生!1天可做500个实验,自主开发新材料,实验室劳力们,颤抖吧 5年前

    近日,来自北卡罗莱纳州立大学和布法罗大学的研究人员开发了一项名为“人工化学家”的技术,该技术结合了人工智能(AI)和执行...

    新化学材料 自动化系统 AI化学家

  • 医疗人工智能|国家卫生健康委办公厅关于启动2020年度二级和三级公立医院绩效考核有关工作的通知 5年前

    国家卫生健康委办公厅关于启动2020年度二级和三级公立医院绩效考核有关工作的通知

    公立医院 绩效考核

  • 医疗人工智能|“AI医生”准确率达84%,中国团队研发首个医学图像密集标注系统 5年前

    为了进一步评估系统的可延展性,团队使用了20种系统未学过的眼病进行测试,系统在大规模筛查场景中达到了84.00%的准确率...

    眼病 医学图像密集标注系统 AI医生

  • 医疗人工智能|“AI+医疗”发展势头强劲 正在引起一场医学革命 5年前

    “AI+医疗”目前发展势头强劲,它正在引起一场医学革命;其应用场景主要有以下几个方面。

    手术 诊断 AI+医疗

  • 医疗人工智能|官宣!工信部为哪些医疗人工智能公司的抗疫表现点赞 5年前

    2020年,一场突如其来的疫情给世界各地带来了严重的冲击,也刺激了科技在创新领域的发展。 近期,在人工智能创新应用先导区...

    人工智能 医疗 工信部

  • 医疗人工智能|国家卫健委统计信息中心:190例医健AI应用案例分析 5年前

    医疗健康人工智能应用,目前较多的还是单纯场景或单纯应用的工程实践,距离成为一门成熟的科学体系还有一定距离。

    工程实践 医疗健康人工智能 国家卫健委统计信息中心

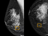
  • 医疗人工智能|清华、协和等单位开发乳腺癌AI诊断工具,可准确识别恶性肿瘤 5年前

    近年来,随着人工智能技术的发展,越来越多的人工智能算法应用于医学图像领域,并深刻地改变了医学影像的发展,从一开始仅仅提供...

    恶性肿瘤 乳腺癌 AI诊断

  • 医疗人工智能|人工智能在医疗行业应用面临的五大挑战 5年前

    认清在医疗保健中实施人工智能(AI)所面临的挑战,可以帮助医疗保健提供者制定适当的策略并以无风险的方式快速实施创新的解决...

    人工智能 医疗

  • 医疗人工智能|下一个风口!增强现实(AR)辅助手术将革新医疗! 5年前

    增强现实辅助手术技术对于术前规划、术中引导和术后康复都有重要的意义,本文将从基本概念、技术原理、市场情况、主要公司和代表...

    辅助手术 AR

  • 医疗人工智能|AI超声:AI影像领域的后起之秀 5年前

    在人工智能(AI)医学影像的各个细分领域中,AI超声所受到的关注远不如AI CT影像。2020年初,FDA批准了首个AI...

    AI超声 AI影像

  • 医疗人工智能|AI在医疗行业的应用场 5年前

    人工智能在生活和生产中已经有了广泛的应用,它的应用也逐渐替代了一些人类工作岗位。如今,随着人工智能技术的不断发展,其在医...

    AI 痛点 医疗行业

  • 医疗人工智能|AI、5G、大数据助力海南加速智慧医疗建设,探索“数字健康”海南经验 5年前

    近年来,不断有互联网医院选择落地海南。与此同时,海南省多家公立医院也在积极应用大数据、人工智能(AI)、5G等信息技术建...

    智慧医疗 AI 海南

  • 医疗人工智能|DRGs支付改革背景下病种成本管理体系的构建及应用 5年前

    原有传统成本核算方法和管理模式并不符合支付方式改革的要求。目前,国内尚没有形成完整的病种管理体系,是推动按病种付费的主要...

    成本管理 支付改革 DRGS

  • 首页 49 50 51 52 53 54 55 56 57 58 下一页
  • 医健资讯|【活动邀请】数智赋能,链启未来...

    2026-01-23

  • 医疗信息化|预算7000万!智慧医疗信息化...

    2026-01-23

  • 医疗人工智能|最高资助1000万!北京亦庄2...

    2026-01-22

  • 医疗人工智能|上海“十五五”规划建议关键词:...

    2026-01-22

  • 医疗信息化|湖北省医院可信数据空间联盟成立...

    2026-01-21

  • 【活动邀请】数智赋能,链启未来丨2026全球医药供...
  • 预算7000万!智慧医疗信息化综合提升项目采购
  • 最高资助1000万!北京亦庄2026“揭榜挂帅”启...
  • 上海“十五五”规划建议关键词:未来健康、AI应用,...
  • 湖北省医院可信数据空间联盟成立:搭建覆盖全省的医疗...

关于我们 | 联系我们 |免责条款

投稿邮箱:wendi.c@djkpai.com

合作电话:86-010-5166 8499

社群交流:jiankangwaner

备案号 京ICP备2024069182号-8

友情链接

中国IDC圈|
小桔灯网|

扫码关注微信公众平台